お知らせ

2026.03.10

上の前歯の中心がずれているのが気になる:インビザライン


症例紹介 part128です。
(患者さんに掲載の許可をいただいております)

この患者さんは、初診時12才女性。
約2年前、
2024年3月
に矯正相談にいらした患者さんです。

「上の前歯の中心がずれている」
「全体的に歯並びが良くないのが気になる」
ということで来院されました。

2024年3月に矯正相談
2024年3月4月に検査診断
2024年5月に1期治療開始(〜2024年11月)
2025年1月に2期治療開始(インビザライン)

1年0ヶ月経過して保定観察に移行しました。

1期治療開始時(2024年3月)
2期治療開始時(2024年11月)
保定開始時(2025年1月)の写真です。

正面
0000000001
0000000022
0000000073

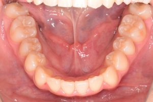
下から
0000000002
0000000023
0000000074

上あご
0000000006
0000000026
0000000077

下あご
0000000005
0000000027
0000000078

右側
0000000003
0000000024
0000000075

左側
0000000004
0000000025
0000000076

すでに乳歯は1本もありませんでしたが
12歳とまだ若く
骨格的な歯列弓の拡大が期待できること
また、上顎の12歳臼歯(第二大臼歯)
の萌出を待つ必要もあったので
クワドヘリックスという装置で歯列の拡大を行い(1期治療)
インビザラインで配列する(2期治療)
という計画にしました。

上顎QH+ヘッドギア
4ヶ月
リンガルアーチ
2ヶ月
0000000013
0000000021

上顎の第二大臼歯も萌出し
上下左右の第一大臼歯の関係も改善したため
2期治療(インビザライン)
に移行しました。

インビザラインは31枚
追加アライナー13枚
で終了しました。

1期治療を行うことにより
アライナーの枚数を半分程度にできたと
考えています。

治療方針:
・上顎大臼歯の遠心移動および歯列弓の拡大
(できれば骨格的に)を1期治療として行う
・インビザラインで配列する
・1期治療を行うことでアライナーの枚数の削減を目指す(期間を短縮する)

治療方法:
・非抜歯

使用装置:クワドヘリックス、ヘッドギア
     リンガルアーチ、インビザライン
     
これまでにかかった費用は
検査診断 3.5万
唾液検査 0.5万
1期料金 0円(2期に含む)
2期料金 85万(インビザライン)
調整費 10.8万(0.6万x18回)
保定装置料 3万

<症例情報まとめ>
主訴  叢生
診断名 叢生
主な装置 クワドヘリックス
     ヘッドギア
     リンガルアーチ
     インビザライン
抜歯部位 なし
2期治療期間 1年0ヶ月
治療費  102.8万+税
リスク 歯肉退縮、ブラックトライアングル、歯根吸収、顎関節症状等

札幌 桑園 矯正歯科egao 笑顔