お知らせ

2026.02.03

前歯の歯並びと反対咬合が気になる:1期→2期


症例紹介 part125です。
(患者さんに掲載の許可をいただいております)

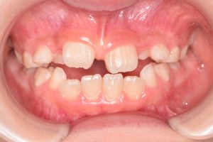
この患者さんは、初診時7才女性。
約5年前、
2021年1月
に矯正相談にいらした患者さんです。

「前歯の歯並びと反対咬合が気になる」
ということで来院されました。

2021年1月に矯正相談
2021年4月5月に検査診断
2021年7月に1期治療開始(〜2023年3月)
2024年11月に2期治療開始(上顎マルチブラケット装置セット)
2025年1月下顎マルチブラケット装置セット

1年1ヶ月経過して無事ブラケット撤去しました。

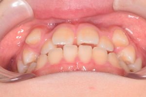
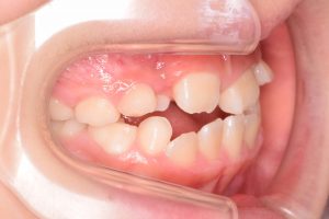
1期治療開始時(2021年4月)
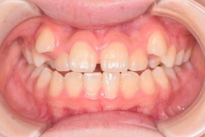
2期治療開始時(2024年7月)
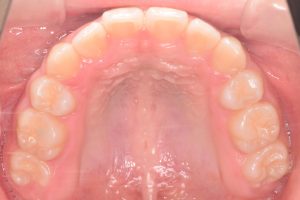
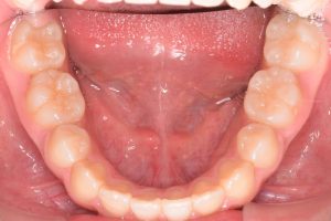
装置撤去時(2025年1月)の写真です。

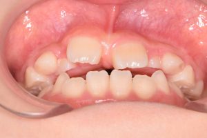
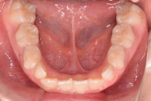
正面
0000000006
0000000059
0000000118

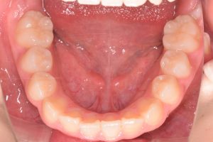
下から
0000000005
0000000060
0000000125

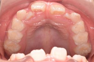
上あご
0000000002
0000000063
0000000129

下あご
0000000001
0000000064
0000000128

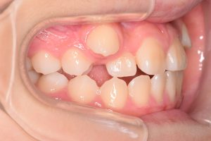
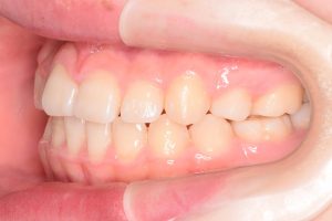
右側
0000000004
0000000061
0000000126

左側
0000000003
0000000062
0000000127

2期治療開始時の問題点
・上顎前歯部叢生(犬歯の低位唇側転位)

1期治療では

上顎QH、リンガルアーチ
下顎EXP
を約1年
トレーナー(舌癖対策)
を半年

側方歯の交換をその後観察していましたが
全ての歯のサイズが大きく
非抜歯の治療は諦め
抜歯矯正を治療方針として決めました。

12才臼歯がまだ萌出前でしたが
転居まで1年半でなんとか治すことを目標に
11歳で2期治療を開始し
無事1年1ヶ月で終了となりました。

治療方針:
・上顎左右4抜歯
・下顎左右5抜歯
・下顎前歯部3.0mm後退

治療方法:
・上顎左右第一小臼歯抜歯
・下顎左右第二小臼歯抜歯

使用装置:上下顎マルチブラケット装置
     トランスパラタルアーチ
     
抜歯症例を1年半で仕上げるのはギリギリなので
3週間ごとに通院に協力していただき
春の転居に間に合いました。

保定も頑張りましょう。

これまでにかかった費用は
検査診断 3.5万
唾液検査 0.5万
1期料金 33万
1期調整費 12万(0.5万x22回)
+定期資料代
+観察料
2期料金 33万
2期調整費 9.5万(0.5万x19回)
保定装置料 3万

<症例情報まとめ>
主訴  叢生
診断名 上顎前突、叢生
主な装置 クワドヘリックス
     リンガルアーチ
     拡大床
     トレーナー
     上下顎マルチブラケット装置
     トランスパラタルアーチ
抜歯部位 上顎左右4、下顎左右5
2期治療期間 1年1ヶ月
治療費  94.5万+税 (定期資料+観察料除く)
リスク 歯肉退縮、ブラックトライアングル、歯根吸収、顎関節症状等

札幌 桑園 矯正歯科egao 笑顔