お知らせ
/
人のこと
/
院内の紹介
/
診療について
/
料金について
/
ご予約
T
EL
011-616-1919
お知らせ
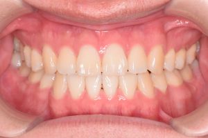
症例写真 おとな
2026.02.02
下の歯並びを治したい:ホワイトワイヤー
症例紹介 part124です。 (患者さんに掲載の許可をいただいております) この患者さんは、初診時22才男性。 約2年半前、 2023年7…
CATEGORY
お知らせ
スタッフから
スタッフ募集
副院長から
大人の矯正
子供の矯正
本
症例写真 おとな
症例写真 こども
症例写真 こども(2期完了)
院長から
ARCHIVE
2026年3月
2026年2月
2026年1月
2025年12月
2025年11月
2025年10月
2025年9月
2025年8月
2025年7月
2025年6月
2025年5月
2025年4月
2025年3月
2025年2月
2024年12月
2024年10月
2024年9月
2024年7月
2024年6月
2024年4月
2024年3月
2024年1月
2023年12月
2023年10月
2023年8月
2023年7月
2023年6月
2023年4月
2023年3月
2022年12月
2022年11月
2022年10月
2022年9月
2022年8月
2022年7月
2022年5月
2022年4月
2022年3月
2022年2月
2022年1月
2021年12月
2021年11月
2021年10月
2021年9月
2021年8月
2021年7月
2021年6月
2021年5月
2021年4月
2021年3月
2021年2月
2021年1月
2020年12月
2020年11月
2020年10月
2020年9月
2020年7月
2020年6月
2020年5月
2020年4月
2020年3月
2020年2月
2020年1月
2019年12月
2019年11月
2019年10月
2019年9月
2019年8月
2019年7月
2019年6月
2019年5月
2019年4月
2019年3月
2019年2月
2019年1月
2018年12月
2018年11月
2018年10月
2018年8月
2018年7月
2018年6月
2018年5月
2018年4月
2018年3月
2018年1月
2017年12月
2017年11月
2017年10月
2017年9月
2017年8月
2017年7月
2017年6月
2017年5月
2017年4月
2017年3月
2017年2月
2017年1月
2016年12月
2016年11月
2016年10月