症例紹介 part123です。
(患者さんに掲載の許可をいただいております)
この患者さんは、初診時11才男性。
約6年前、
2019年6月
に矯正相談にいらした患者さんです。
「左上犬歯の生え方と下の前歯が気になる」
ということで来院されました。
2019年6月に矯正相談
2019年6月7月に検査診断
2019年8月に1期治療開始(〜2021年3月)
2023年9月に2期治療開始(上顎マルチブラケット装置セット)
2023年10月下顎マルチブラケット装置セット
2年0ヶ月経過して無事ブラケット撤去しました。
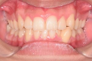
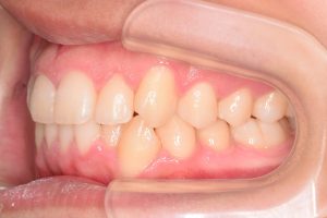
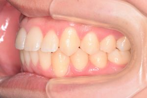
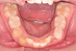
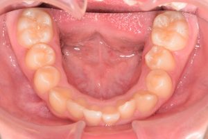
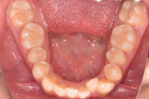
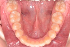
2期治療開始時(2023年7月)と装置撤去時(2025年9月)の写真です。
正面


下から


上あご


下あご


右側


左側


2期治療開始時の問題点
・下顎前歯部叢生
1期治療では
「骨格的な上顎前突」
と診断し、
ヘッドギア+バイオネーター 7ヵ月間
トレーナー 10ヵ月間
を使用しました。
その後
最後の12歳臼歯の萌出を
15歳まで待っている間に
成長に伴い下顎前歯部の叢生がひどくなったので
2期治療を開始することになりました。

1期治療開始時

1期治療終了時

2期治療開始時

2期治療終了時
治療方針:
・非抜歯で配列
治療方法:
・非抜歯
・下顎前歯部IPR
使用装置:上下顎マルチブラケット装置
1期治療で奥歯の位置関係を
良い状態にできたので
2期治療は1〜1.5年を想定していましたが
丸2年かかってしまいました。
ブラケットが外れやすく
急患対応が2年間の間に16回と
新記録を樹立してしまったかもしれませんが
よく頑張って通ってくれました。
仕上がりはとても綺麗になりました。
保定も頑張りましょう。
これまでにかかった費用は
検査診断 3.5万
唾液検査 0.5万
1期料金 30万
1期調整費 7.5万(0.5万x15回)
+定期資料代
+観察料
2期料金 30万
2期調整費 11.0万(0.5万x22回)
保定装置料 3万
<症例情報まとめ>
主訴 叢生
診断名 上顎前突、叢生
主な装置 ヘッドギア
バイオネーター
トレーナー
上下顎マルチブラケット装置
抜歯部位 なし
2期治療期間 2年0ヶ月
治療費 85.5万+税 (定期資料+観察料除く)
リスク 歯肉退縮、ブラックトライアングル、歯根吸収、顎関節症状等
札幌 桑園 矯正歯科egao 笑顔

