症例紹介 part121です。
(患者さんに掲載の許可をいただいております)
この患者さんは、初診時26才男性。
約1年半前、
2024年6月
に矯正相談にいらした患者さんです。
「上の前歯4本が気になる」
ということで来院されました。
2024年6月に矯正相談
2024年6月7月に検査診断
2024年7月に上顎セクショナルアーチセット
1年2ヶ月経過して無事ブラケット撤去しました。
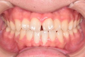
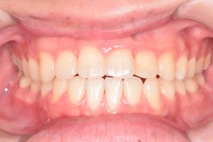
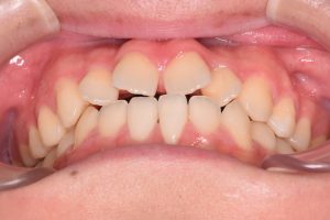
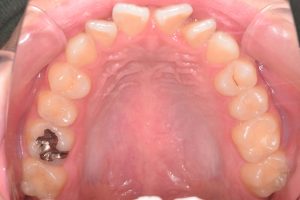
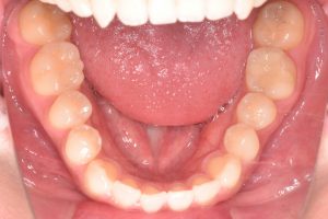
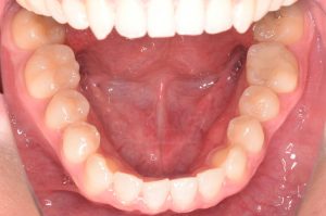
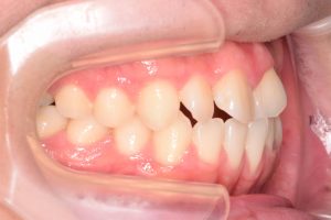
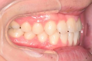
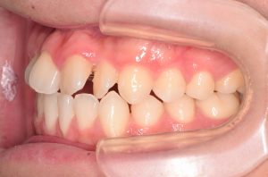
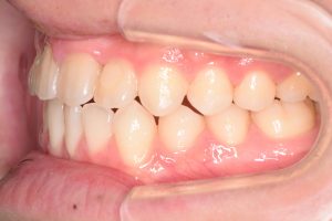
初診時(2024年6月)と装置撤去時(2025年9月)の写真です。
正面


下から


上あご


下あご


右側


左側


問題点
・上顎前歯叢生
・正中離開
治療方針:
・上顎前歯部のみの MTM(部分矯正)
治療方法:
・非抜歯
・上顎前歯部のセクショナルアーチ
使用装置:上顎セクショナルアーチ
上顎の前歯のみの治療をご希望で
他の問題点も少なく
上顎前歯部だけの治療は妥当
と診断しましたので
上顎前歯部のみの治療を開始しました。
左上側切歯の捻転をとるのに時間がかかってしまいました。
6ヵ月〜1年での終了を予定していたので
少し超えてしまって申し訳ございません。
前歯部しか動かしていないので
保定はfixリテーナーを接着してあります。
これまでにかかった費用は
検査診断 4.0万
装置料金 18万
調整費 7万(0.5万x14回)
保定装置料 3万
<症例情報まとめ>
主訴 上顎前歯叢生、正中離開
診断名 上顎前歯叢生、正中離開
主な装置 上顎セクショナルアーチ
抜歯部位 なし
治療期間 1年2ヶ月
治療費 32万+税
リスク 歯肉退縮、ブラックトライアングル、歯根吸収、顎関節症状等
札幌 桑園 矯正歯科egao 笑顔

