症例紹介 part120です。
(患者さんに掲載の許可をいただいております)
この患者さんは、初診時24才女性。
約2年半前、
2023年6月
に矯正相談にいらした患者さんです。
「歯のガタつきが気になる」
ということで来院されました。
2023年6月に矯正相談
2023年7月8月に検査診断
2023年9月にリンガルアーチセット
上顎マルチブラケット装置セット
2024年1月に下顎マルチブラケット装置セット
2年0ヶ月経過して無事ブラケット撤去しました。
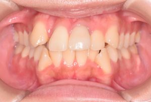
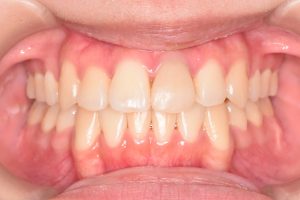
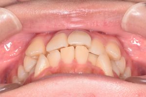
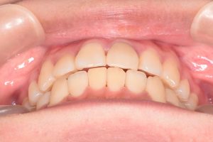
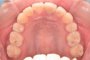
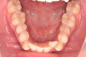
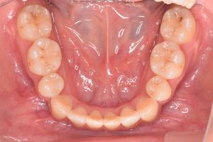
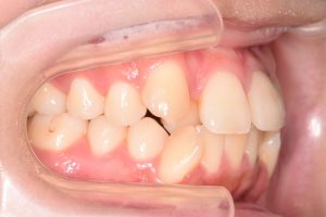
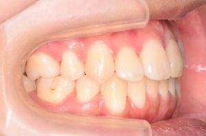
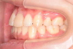
初診時(2023年7月)と装置撤去時(2025年9月)の写真です。
正面


下から


上あご


下あご


右側


左側


問題点
・叢生
・上下前歯の唇側傾斜(上下顎前突)
・右上側切歯の口蓋側転位
・左上中切歯が失活歯
治療方針:
・上下左右4抜歯
・上下前歯の4.0mm後退
・右上2の唇側移動および臼歯の固定源としてリンガルアーチ
治療方法:
・上下左右第一小臼歯抜歯
使用装置:上顎リンガルアーチ
上顎マルチブラケット装置
下顎マルチブラケット装置
とても順調に進んだ印象の症例でした。
4ヵ月間の顎間ゴムの使用にも
とても積極的にご協力いただきました。
左上の前歯が失活歯でやや変色しているので
ホワイトニングの処置で
綺麗にすることを検討中です。
保定も頑張りましょう。
これまでにかかった費用は
検査診断 4.0万
唾液検査 0.5万
装置料金 62万
ホワイトワイヤー(上顎)3.0万
調整費 13.5万(0.5万x27回)
保定装置料 3万
<症例情報まとめ>
主訴 叢生
診断名 叢生、上下顎前突
主な装置 上顎リンガルアーチ
上顎マルチブラケット装置
下顎マルチブラケット装置
抜歯部位 上下左右第一小臼歯
治療期間 2年0ヶ月
治療費 86万+税
リスク 歯肉退縮、ブラックトライアングル、歯根吸収、顎関節症状等
札幌 桑園 矯正歯科egao 笑顔

