症例紹介 part119です。
(患者さんに掲載の許可をいただいております)
この患者さんは、初診時25才女性。
約2年半前、
2023年5月
に矯正相談にいらした患者さんです。
「右上の前歯のでっぱりが気になる」
ということで来院されました。
2023年5月に矯正相談
2023年6月7月に検査診断
2023年9月にリンガルアーチセット
2023年11月に下顎マルチブラケット装置セット
2024年1月に上顎リンガルブラケット装置セット
1年11ヶ月経過して無事ブラケット撤去しました。
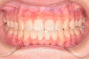
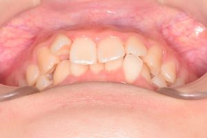
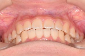
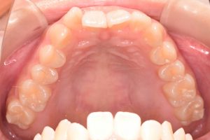
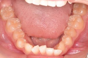
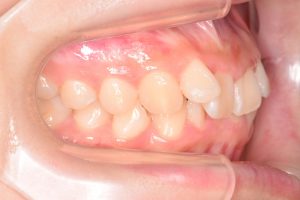
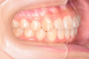
初診時(2023年6月)と装置撤去時(2025年8月)の写真です。
正面


下から


上あご


下あご


右側


左側


問題点
・下顎骨の左方偏位
・叢生
・上下前歯の舌側傾斜
治療方針:
・非抜歯で配列
・上下正中を合わせるため左上臼歯部にアンカースクリュー
治療方法:
・非抜歯
・上顎左右第三大臼歯は抜歯
使用装置:上顎リンガルアーチ
上顎リンガルブラケット装置
下顎マルチブラケット装置
アンカースクリュー
後半の半年は顎間ゴムにも
とても積極的にご協力いただき
スムーズに治療を終了できました。
保定も頑張りましょう。
これまでにかかった費用は
検査診断 4.0万
唾液検査 0.5万
装置料金 77万
アンカースクリュー1本 1.5万
調整費 14.4万(0.6万x24回)
保定装置料 3万
<症例情報まとめ>
主訴 上下顎前突、叢生
診断名 上下顎前突、叢生
主な装置 上顎リンガルアーチ
上顎リンガルブラケット装置
下顎マルチブラケット装置
アンカースクリュー
抜歯部位 なし
治療期間 1年11ヶ月
治療費 100.4万+税
リスク 歯肉退縮、ブラックトライアングル、歯根吸収、顎関節症状等
札幌 桑園 矯正歯科egao 笑顔

