症例紹介 part118です。
(患者さんに掲載の許可をいただいております)
この患者さんは、初診時19才男性。
約4年前、
2021年11月
に矯正相談にいらした患者さんです。
「上の前歯が出ている」
「左下の前歯が下がっている」
ということで来院されました。
2021年11月に矯正相談
2021年12月,2022年1月に検査診断
2022年3月に上顎マルチブラケット装置セット
2022年4月に下顎マルチブラケット装置セット
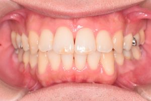
3年6ヶ月経過して無事ブラケット撤去しました。
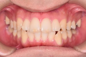
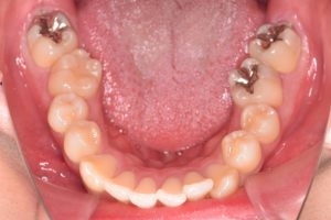
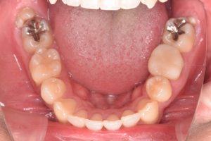
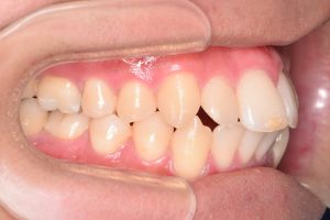
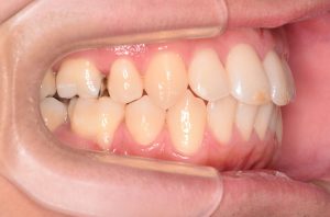
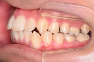
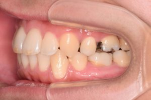
初診時(2021年12月)と装置撤去時(2025年9月)の写真です。
正面


下から


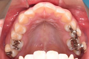
上あご


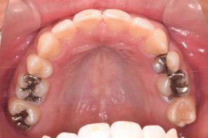
下あご


右側


左側


問題点
・上下顎前突
・叢生
治療方針:
・上下左右小臼歯抜歯して、上下前歯を後退させる
・治療歴のある左上7抜歯(左上8を萌出させる)
治療方法:
・上顎左右第一小臼歯抜歯
・左下第一小臼歯抜歯
・右下第二小臼歯抜歯
・左上第二大臼歯抜歯
使用装置:上顎リンガルブラケット装置
下顎マルチブラケット装置
アンカースクリュー
上下左右の小臼歯を抜歯して
上顎前歯7.0mm後退
下顎前歯5.0mm後退
を計画して治療しました。
埋まっている親知らず(左上8)の条件が良さそうで
左上7の修復物(メタルインレー)が大きいので
左上7の抜歯をご提案したところ
希望されたのでそれも計画に組み込むことになりました。
初診時からあった左下6の虫歯は大きく
神経の治療が必要になったことや
通院間隔が後半伸びてしまった影響もあり
3年半かかってしまいましたが
前歯の後退量は計画通りで
口唇閉鎖も楽にできるようになり
側貌は満足のいくものとなりました。
治療開始1年ごろから
右下6の近心頬側の歯根が露出してしまったのが
残念ですが‥(原因は不明)
保定も頑張りましょう。
これまでにかかった費用は
検査診断 3.5万
唾液検査 0.5万
装置料金 77万
アンカースクリュー2本 3.0万
調整費 18.0万(0.5万x36回)
保定装置料 3万
<症例情報まとめ>
主訴 上下顎前突、叢生
診断名 上下顎前突、叢生
主な装置 上顎リンガルブラケット装置
下顎マルチブラケット装置
アンカースクリュー
抜歯部位 上顎左右第一小臼歯
左下第一小臼歯
右下第二小臼歯
左上第二大臼歯
治療期間 3年6ヶ月
治療費 105万+税
リスク 歯肉退縮、ブラックトライアングル、歯根吸収、顎関節症状等
札幌 桑園 矯正歯科egao 笑顔

