お知らせ

2025.10.16

上の前歯が出ているのを治したい:通常のワイヤー


症例紹介 part117です。
(患者さんに掲載の許可をいただいております)

この患者さんは、初診時22才女性。
約3年前、
2022年8月
に矯正相談にいらした患者さんです。

「上の前歯が出ている」
「下の歯並びがでこぼこ」
ということで来院されました。

2022年8月に矯正相談
2022年9月10月に検査診断
2022年11月に上顎マルチブラケット装置セット
2023年6月に下顎マルチブラケット装置セット

2年10ヶ月経過して無事ブラケット撤去しました。

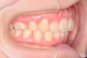
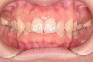
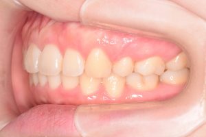
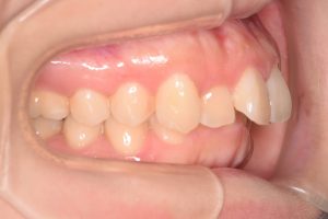
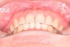
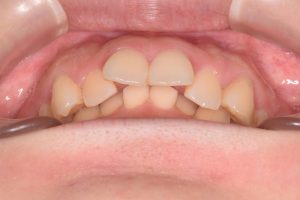
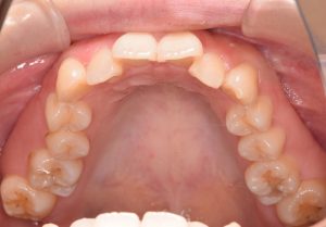
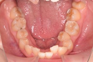
初診時(2022年9月)と装置撤去時(2025年9月)の写真です。

正面
0000000007
0000000135

下から
0000000008
0000000136

上あご
0000000011
0000000139

下あご
0000000012
0000000140

右側
0000000009
0000000137

左側
0000000010
0000000138

問題点
・過蓋咬合
・叢生
・左右第二大臼歯シザーズバイト

治療方針:
・上顎左右4抜歯
・左下5抜歯
・右下8抜歯 (左下8抜歯)
・シザーズバイトの改善
・上下前歯の圧下

治療方法:
・上顎左右第一小臼歯抜歯
・左下第二小臼歯抜歯

使用装置:上下顎マルチブラケット装置
     リンガルアーチ
     Wアーチ
     アンカースクリュー
    
まずシザーズバイトを治すのが
非常に難しそうな症例でした。

上顎にリンガルアーチ
下顎にWアーチ
を装着して半年かけて
シザーズバイトを改善させました。

その後も
上の前歯は2.0mm圧下、4.0mm後退
させる計画ということで時間を要しましたが
ギリギリ3年を切って終了できました。
保定も頑張りましょう。

これまでにかかった費用は
検査診断 4.0万
唾液検査 0.5万
装置料金 62万
アンカースクリュー2本 3.0万
調整費 17.5万(0.5万x35回)
保定装置料 3万

<症例情報まとめ>
主訴  過蓋咬合、叢生
診断名 過蓋咬合、叢生、シザーズバイト
主な装置 上下顎マルチブラケット装置
     リンガルアーチ
     Wアーチ
     アンカースクリュー
抜歯部位 上顎左右第一小臼歯
     左下第二小臼歯
治療期間 2年10ヶ月
治療費  90万+税
リスク 歯肉退縮、ブラックトライアングル、歯根吸収、顎関節症状等

札幌 桑園 矯正歯科egao 笑顔