症例紹介 part122です。
(患者さんに掲載の許可をいただいております)
この患者さんは、初診時34才女性。
約3年前、
2022年11月
に矯正相談にいらした患者さんです。
「八重歯を治したい」
ということで来院されました。
2022年11月に矯正相談
2022年12月検査
2023年3月診断
2023年4月に上顎マルチブラケット装置セット
2024年7月に下顎マルチブラケット装置セット
2年5ヶ月経過して無事ブラケット撤去しました。
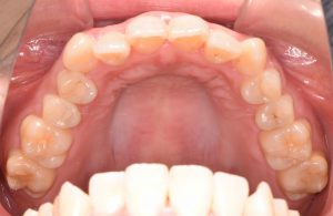
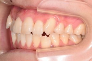
初診時(2022年12月)と装置撤去時(2025年9月)の写真です。
正面


下から


上あご


下あご


右側


左側


問題点
・叢生
・右上犬歯低位唇側転位
・下顎骨の後方位による上顎前突
・下顎前歯部唇側傾斜
・右側第二大臼歯部シザーズバイト
治療方針:
・上顎左右4抜歯
・下顎左右5抜歯
・固定源としてアンカースクリュー
治療方法:
・上顎左右第一小臼歯抜歯
・下顎左右第二小臼歯抜歯
使用装置:上下顎マルチブラケット装置
アンカースクリュー
両側の犬歯が咬みあっていないので
奥歯にとても負担のかかる咬合状態でした。
見た目以上に、
歯を長持ちさせる上で
今回の矯正治療は意味のあるものとなります!
犬歯を咬合に参加させることで
奥歯に負担が掛からなくなります。
(犬歯誘導)
治療に関してですが、
頬側に埋入したアンカースクリューが
両側ともすぐに脱落してしまい
口蓋側(裏側)に打ち直すことになりました。
その後は順調に進み
2年5ヶ月で装置撤去できました。
保定も頑張りましょう。
これまでにかかった費用は
検査診断 4.0万
唾液検査 0.5万
装置料金 62万
アンカースクリュー2本 3.0万
調整費 13.0万(0.5万x26回)
保定装置料 3万
<症例情報まとめ>
主訴 八重歯、叢生
診断名 叢生、上顎前突
主な装置 上下顎マルチブラケット装置
抜歯部位 上顎左右第一小臼歯
下顎左右第二小臼歯
治療期間 2年5ヶ月
治療費 85.5万+税
リスク 歯肉退縮、ブラックトライアングル、歯根吸収、顎関節症状等
札幌 桑園 矯正歯科egao 笑顔

